腰痛で歩けなくなった父---腰椎後方固定術(PLIF)
腰椎後方固定術(PLIF)-新小文字病院脊髄脊椎外科治療センターにて87歳になる一人暮らしの父がフェリー船内で転んだことから激しい腰痛に悩まされ、日常生活に支障をきたすようになりました。 「独立行政法人労働者健康福祉機構 総合せき損センター」でブロック注射を受けたのですが、症状はあまり改善されませんでした。 寝たきりを恐れた父は手術を決意。従兄の献身的な病院探しで、高齢にも関わらず手術入院を受諾いただいた「新小文字病院脊髄脊椎外科治療センター」(門司市)で2010/07/25に腰椎後方固定術(PLIF)の手術しました。 普通、4本のスクリュー(ボルト)で固定するのですが、父の場合、6本のボルトを入れることになりました。 3時間近い手術を無事終え、3日目からは少しずつ歩けるようになり、体調も回復傾向。痛みは残っているものの手術前に比べるとずい分楽になったようです。 しかしながら、高齢であるが故に「造骨」に時間がかかるため術後のリハビリが課題です。 固定部分を刺激すると、ボルトが弛むため、
具体的な日常生活の動作で
田川新生病院に転院手術入院の期間が来た2010/08/12、田川新生病院に回復期リハビリテーションのため転院。自家用車での90分間程度の移動にも関わらず本人は至って元気に過ごしました。入院手続き、採血、検尿、身体測定を終え、病室へ。 ここで本格的なリハビリがスタートです。 田川新生病院を選んだ理由、
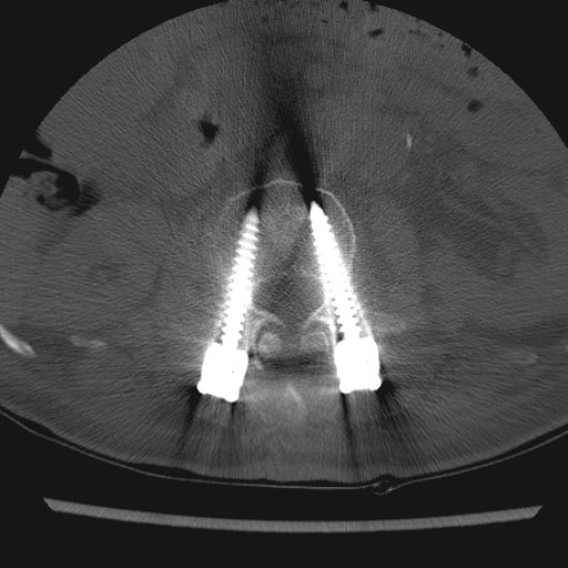
術前術後のレントゲン以下、レントゲン写真を紹介します。「1→」第3腰椎でしょうか、つぶれています。しかし、担当医によればこの部分からの痛みはないようです。 「2→」第1腰椎でしょうか、腹側がささくれています。 又、写真には写っていませんがこの部分の「腰神経叢」滞りがあるようです。 ![]() チタン製のスクリューと固定版を背中側から撮った映像です。 MRで胴体部分を輪切りにした映像です。 縦に3本のスクリューが入れられているのが鮮明に表示されています。 「3→」の部分は避けていた腰椎に人口骨を入れ補強・修正した部分をなります。
術後6年、2016/11/27逝去。享年93歳。11/26の夕刻、体調不良で診察即入院。翌11/27/07:35 逝去。 前日まで自身の足でトイレに行ける生活を送っていました。 死因は「老衰」。 |


